明美生物显微镜ML51-N下的染色体观察分析
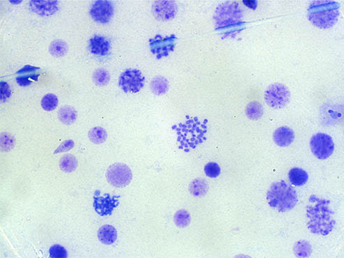
染色体是细胞在有丝分裂或减数分裂时DNA存在的特定形式,在显微镜下清晰可见。近期,明美科研级生物显微镜ML51-N搭配2100万像素显微镜相机MSX11,用于染色体观察分析,成像清晰,效果满意。

生物显微镜ML51-N使用无穷远消色差独立校正光学系统,观察样品真实清晰,保证了采集图像的锐度、清晰度和色彩还原性,为数字成像提供了高质量和高性能的成像解决方案基础

生物显微镜ML51-N采用高数值孔径半复消色差物镜,成像清晰色彩真实;生物显微镜ML51-N自带便捷的光强管理系统,预设不同物镜下的亮度,避免反复亮度调节。LED明场光源,接近自然光的白光,亮度可调,明亮不刺眼。10X/25mm宽视野目镜,视野平场性优良,提升工作效率。

您若对生物显微镜ML51-N感兴趣或存在疑问,欢迎与我们联系,我们将竭诚为您服务!