生物显微镜ML31应用于HE染色观察
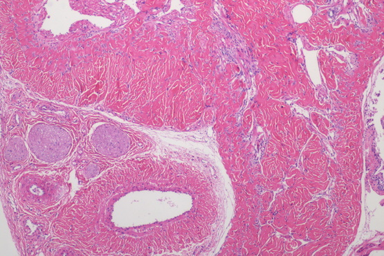
HE染色是目前国内外病理诊断上广泛采用的常规染色方法。HE染色即苏木精-伊红染色法( hematoxylin-eosin staining ),是石蜡切片技术里常用的染色法之一。苏木精染液为碱性,主要使细胞核内的染色质与胞质内的核糖体着紫蓝色;伊红为酸性染料,主要使细胞质和细胞外基质中的成分着红色。一张做工精良的HE切片是病理医生得以做出正确诊断的关键。而一台性能优良的显微镜和成像清晰的摄像头则是病理医生做出正确诊断的最重要的工具。生物显微镜ML31用于HE染色观察,具有易用舒适,稳定可靠的优势。

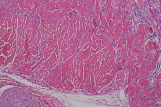
近期,明美广州区域安装生物显微镜ML31搭配630万像素显微镜相机MS60,用于HE染色片的观察并能清晰拍照。在显微镜下做诊断其实并不容易,这需要大量知识的学习和丰富的经验积累,而好的显微镜能有效提升效率,ML31采用高平场性物镜,保证10X/22视野数下的平坦清晰成像。

生物显微镜ML31采用人机工程学设计,不断为操作者更加提供好的使用体验,避免长期使用带来的疲劳感;另外通过光学系统优化升级,使得操作更简便,减少培训成本,易上手。

生物显微镜ML31采用高透光平场消色差物镜,成像清晰无场曲,标配明场成像,无限远光学系统,扩展潜力大,可扩展用于暗场、相差、荧光多功能显微观察。
您若对生物显微镜感兴趣或存在疑问,欢迎与我们联系,我们将竭诚为您服务!