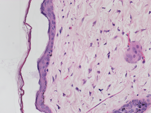
生物显微镜下的HE染色病理切片
取出一定大小的病变组织制成HE染色病理切片,再用生物显微镜观察鉴定,是一种比较精确的病理诊断方法。HE染色法即苏木精—伊红染色法染色,是搭配明场生物显微镜常用染色检测技术。

病理切片经过HE染色法选择性地染色,由于组织或细胞的不同成分对苏木精和伊红的亲和力不同及染色性质不一样,经染色处理后细胞核及钙盐粘液等呈蓝色,细胞胞浆呈粉红色,通过生物显微镜,可观察到各种组织或细胞成分与病变的一般形态结构特点。

生物显微镜ML31采用无限远光学,平场消色差物镜和10X/22mm大视野目镜,观察HE染色病理切片真实清晰,搭配病理诊断上深度优化的显微相机MS60,采集的图像锐利、色彩还原准确,为临床诊断和治疗提供的优秀图像数据。
免责声明
本站无法鉴别所上传图片、字体或文字内容的版权,如无意中侵犯了哪个权利人的知识产权,请来信或来电告之,本站将立即予以删除,谢谢。