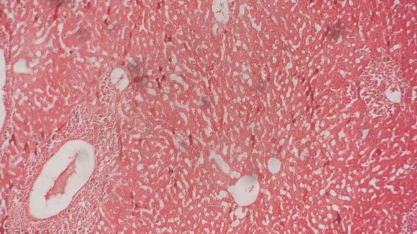
科研级数字相机MSX2清晰拍摄鼠肝切片
某医科大学想为尼康倒置荧光显微镜升级一款高像素相机,用于拍摄荧光和鼠肝切片等样品,明美推荐科研级显微镜相机MSX2,高灵敏度,像素高达1250万,拍摄鼠肝切片细节丰富,色彩真实。鼠肝切片是由实验室培养的小鼠获取的肝脏组织,经过切割、固定、染色等处理后制备而成。

MSX2是明美研发的科研级数字相机,1英寸大靶面,具有1250万高像素,采用USB3.0数据传输接口,灵敏度高,像素较高,为显微成像提供清晰而丰富的细节展示。其色彩表现在颜色还原准确性上表现优异,使其成为液基细胞分析、免疫组化、骨髓细胞分析等颜色要求高的病理诊断的理想工具。

同时,得益于大靶面和先进的CMOS技术,科研级数字相机MSX2在明暗场、相衬、偏光、荧光成像等领域也表现出众。支持USB3.0接口,具备更快更稳定的图像传输,内置64MB缓存使图片显示工作记录更加快速。
免责声明
本站无法鉴别所上传图片、字体或文字内容的版权,如无意中侵犯了哪个权利人的知识产权,请来信或来电告之,本站将立即予以删除,谢谢。