明美显微镜数字相机MSX11应用于切片组织观察
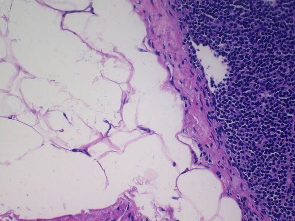
组织切片是现代生物学、医学和农学等领域中一项重要的技术。观察切片组织,高像素的显微数字相机更有优势,2100万像素的数字相机MSX11为切片组织观察提供更精细的成像工具。

明美显微镜数字相机MSX11相机拥有2100万高分辨率,4/3英寸大靶面芯片,拥有优良的视野和采集能力。在全分辨率下高达21fps的运行速度,提供流畅的使用体验。
通过将生物组织处理成薄片并放置于玻片上,利用生物显微镜和显微镜相机,可以观察并记录下切片组织结构和细胞的微观特征。显微数字镜相机MSX11搭配奥林巴斯生物显微镜CX33,样品图像准确还原切片组织的精细结构和真实色彩。

显微镜数字相机MSX11采用高性能成像芯片,内置MS系列硬件ISP图像处理芯片,针对显微镜拍摄场景特别优化,精准还原样品的精细结构和真实色彩,通过硬件加速,大大提升了相机运行速度,是荧光拍摄、病理诊断、金相分析和体视观察等应用领域的理想工具。
免责声明
本站无法鉴别所上传图片、字体或文字内容的版权,如无意中侵犯了哪个权利人的知识产权,请来信或来电告之,本站将立即予以删除,谢谢。