生物显微镜ML31应用于中药鉴别
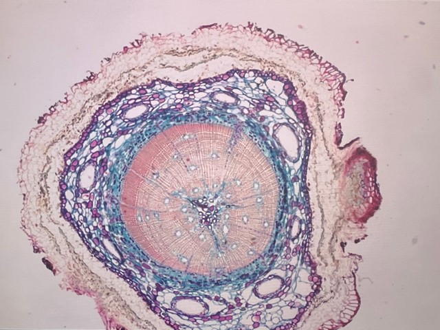
显微鉴定是《中华人民共和国药典》中推荐的中药粉末鉴别方法之一。在检测中药或中药制剂时,可以使用明美生物显微像ML31,从而更加迅速准确的对中药材进行鉴别。

中药材的真假、质量的好坏、会直接影响临床应用的效果和患者的生命安全。所以对于中药材的检测与鉴别有着十分重要的意义。通过明美生物显微像ML31,可以观察中药材内部的细胞、组织构造及细胞内含物,明确其显微特征,从而达到鉴别与检测目的。

明美生物显微镜 ML31采用优异的无限远光学系统,可实现高质量明场观察,可扩展简易偏光观察,提升中药粉末鉴定效率。高透光平场消色差物镜,成像清晰无场曲,精密调焦系统,同轴粗微调焦机构,能够帮助检测人员快速、准确地进行中药材检测。
免责声明
本站无法鉴别所上传图片、字体或文字内容的版权,如无意中侵犯了哪个权利人的知识产权,请来信或来电告之,本站将立即予以删除,谢谢。