明美数字切片扫描仪MDS4应用于数字切片扫描
【案例背景】
成都某病理实验室需要开展病理教学和研究,需要用到数字切片扫描解决方案。数字切片扫描可以将整个玻片的完整信息记录成数亿像素的数字切片文件,从而大大提升信息共享和信息获取的效率。明美数字切片扫描仪MDS4基于高级生物显微镜或研究级荧光显微镜搭建,可以提供箱式切片扫描仪的快速、高精度数字切片扫描功能,同时保留电动生物显微镜/研究级荧光显微镜的功能,一机多用,投入产出比高.数字切片可任意放大缩小观察研究,一旦捕获到组织的图像,就可以无限次地将其用于共享、教育和研究等目的,其效果得到了实验室老师的肯定。

子宫颈瘤数字切片
【实验/设备条件】
防震的工作台
【仪器/耗材清单】
明美数字切片扫描仪MDS4,包含电动显微镜、搭载NVIDIA独显的高性能电脑、扫描系统软件
【样品】
待扫描的玻璃切片

【实验/操作方法】
一、概述
实验主要使用明美数字切片扫描仪MDS4扫描玻璃切片,将所有样品区域完全扫描、自动拼接成数字切片(数亿像素的数字图像文件)。数字切片文件可在普通台式机和笔记本上流畅阅片。
二、装片
MDS4有单片式载物台和5片式载物台等不同配置,在开始扫描前,需要先把待扫描玻片放到载物台上固定。注意玻片标签要朝向样品夹的滑块部分,扫描系统软件会对玻片进行宏观拍照,以便区分数字切片,放反会拍不到标签。
二、选定倍率
MDS4可以配备5个不同倍率的物镜,一般扫描使用20X物镜或者40X物镜,40X物镜的数字切片更细致,但扫描耗时比20X长,可以按需选择,然后进行初步对焦。

平场半复消色差20X物镜
三、设定参数
打开扫描软件,点击扫描,系统会自动识别、框选扫描区域,并自动添加对焦点,用户此时可以调整扫描区域或调整对焦点。对焦点设置越多,自动对焦调整次数越多,因此扫描时间越长,对于不平整的样品,建议对应增加对焦点,以让全切片都获得良好的清晰度。

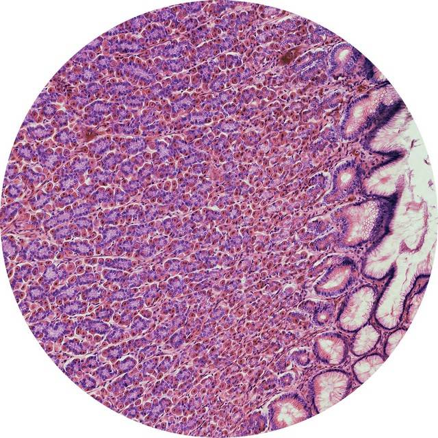
胃壁局部视野
四、扫描拼接
确认设置后,开始扫描,扫描系统软件会自动拍摄每一个视野,然后利用CUDA硬件加速对内容进行识别和快速无缝拼接,片刻后即可获得高分辨率的数字切片。

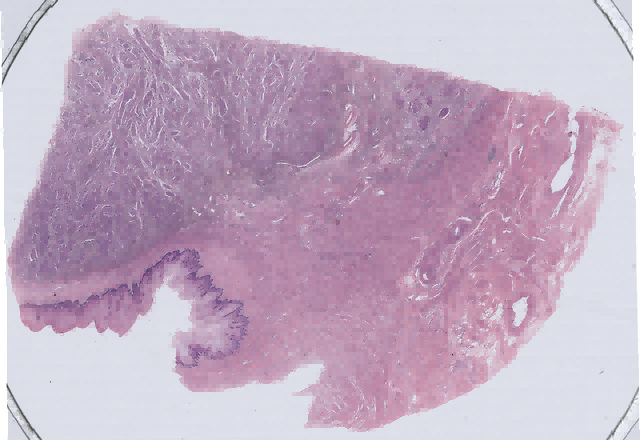
胃壁切片数字切片(显示标签图)
五、流畅阅片
扫描的数字切片图像清晰,无拼接痕迹,背景均匀,可任意放大缩小,样品区域完整。数字切片文件可以方便共享,可在阅片软件上自由阅片,并支持简单的图像调整和标记、测量等功能。

小鼠HE脑片
【场景图/实拍效果图】


【关于明美】
广州明美是专注显微成像研发、生产和销售的专精特新企业,创立于 2003 年,公司组建有光、机、电和软件领域的专业团队,致力于显微领域的数字化、自动化、智能化,是广东省显微成像工程技术研究中心,公司以品质谋发展,已通过 ISO9001、ISO13485 和 ISO14001 等管理体系认证,可为客户提供全面的显微成像解决方案;服务范围覆盖全国 20 多个城市和国外 30 多个国家地区,为全球 10 万+用户提供完善的全流程服务。
联系电话:400-880-1910
免责声明
本站无法鉴别所上传图片、字体或文字内容的版权,如无意中侵犯了哪个权利人的知识产权,请来信或来电告之,本站将立即予以删除,谢谢。