首页 应用领域 政府单位 食药监局药品安全评价实验室的显微镜应用

食药监局药品安全评价实验室的显微镜应用

药品安全“卫士”—探索食药监局药品安全评价实验室的显微镜应用

在人们对健康需求日益增长的当下,药品安全成为全社会关注的焦点。在药品研发与生产链条中,食药监局药品安全评价实验室如同一个"卫士",承担着极为重要的责任。而显微镜作为实验室中的核心工具,以其强大的观测能力,在药品安全评价的各个环节发挥着关键作用,为药品的安全性和有效性评估提供坚实保障。

食药监局药品安全评价实验室的显微镜应用

显微镜在药品安全评价中的应用概述

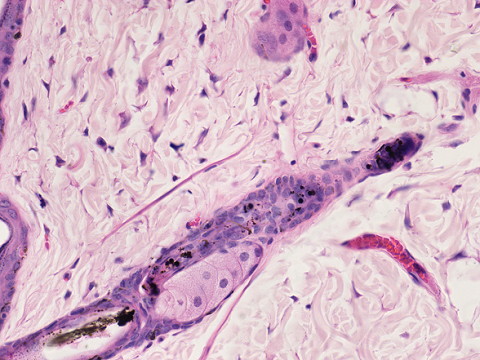
采用HE染色、Masson染色等病理学技术,通过高分辨率的显微镜观察实验动物组织切片中的细胞病变,如炎症或坏死,为药物毒性评估提供可视化证据。

HE染色—显微镜下观察和拍摄病理组织切片

药品检测中的显微成像挑战

在药品安全性评价中,显微镜成像技术面临一些挑战。首先,药品微生物限度的检测以及毒理病理学切片观察大多是通过明场的观察方式,由于微生物颗粒小、数量少,而切片病变区域往往也是很小的范围,因此需要高分辨率和高对比度的成像系统;其次,神经毒理学检测中,需捕捉神经突触、轴突等细微结构变化,对显微成像系统的分辨率和信噪比要求较高

药品微生物限度检测/毒理病理学切片观察

明场观察方案 推荐正置生物显微镜ML45/ML51-N/ML31+ 显微镜相机MDX10/MD60:适用于葡萄球菌、霍乱弧菌、念珠菌等的明场观察。 数智化生物显微镜ML45:放大40X-1000X,编码式物镜转盘,亮度记忆,LED数显屏,显示当前工作状态,ECO人走灯灭,可升级相差、暗场、简易偏光和荧光观察 显微镜相机MDX10:2000万高像素,1英寸大版面芯片,全分辨率下22帧/秒,兼顾高清与速度

产品推荐
微信分享

微信扫描二维码,点击右上角 ··· 按钮

转发给朋友或分享到朋友圈

电话咨询

Tel:18102637572
QQ

QQ咨询

505506350
微信二维码

微信咨询

微信

分享微信

TOP