首页 应用领域 检验检疫 宠物医院

宠物医院

宠物为很多人提供了高质量陪伴,这对人的心理健康和身体健康都有重要意义,而当宠物生病,就需要宠物医院或者宠物诊所提供宠物医疗。

宠物医院

显微成像在宠物医疗中的应用

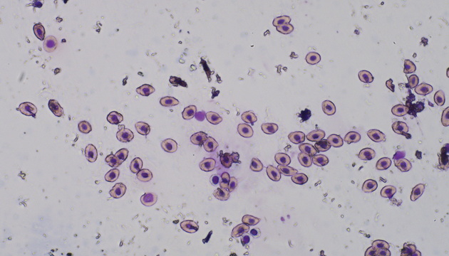
显微成像在宠物医疗中占据核心地位,是诊断利器。通过正置生物显微镜,实现40X-1000X的清晰观察,辅助完成血液、粪便、皮肤及耳道分泌物的细胞学检查,精准识别寄生虫、真菌、细菌及异常细胞,助力发现血液病、皮肤病及耳道感染等。同时,支持病理检测,如组织病理与穿刺活检,为宠物健康提供全面、深入的诊断依据。

显微成像在宠物医疗中的难点

宠物医院受限于规模,常缺乏病理科实验室,病理样品多需快速制样观察,限制诊断能力。为突破此限,国外宠物医院尝试荧光模拟明场成像FIBI,实现免冷冻切片的快速病理诊断,其可靠性接近HE染色切片,且制样无损。该技术仅需405nm荧光激发显微镜、相机及成像软件,有望提升宠物医疗诊断效率与准确性。

显微成像在宠物医疗中的解决方案

•常规推荐生物显微镜ML31+MD60/MD50,LED光源,大视野,无限远光学,可升级荧光 •小型宠物医院推荐ML11,小巧轻便,容易存放,LED光源色温稳定

产品推荐
微信分享

微信扫描二维码,点击右上角 ··· 按钮

转发给朋友或分享到朋友圈

电话咨询

Tel:18102637572
QQ

QQ咨询

505506350
微信二维码

微信咨询

微信

分享微信

TOP