首页 应用领域 检验检疫 癌症

癌症

癌症通常是由于细胞基因发生错误或不正确的表达,使细胞分化和增殖异常,生长失去控制,并可侵袭身体的临近部位和扩散到其它器官。

癌症

癌症研究中的显微成像应用

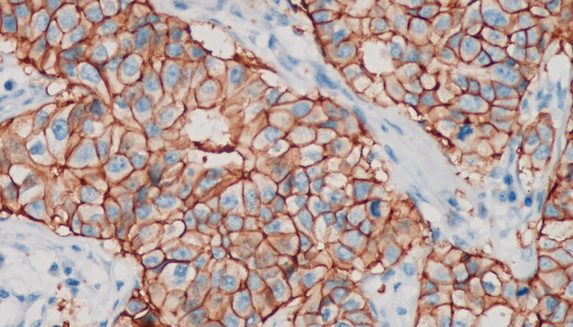
依据癌细胞在分子表达层面和细胞组织层面的变化,运用各类显微成像技术对癌细胞进行筛选与识别,如①病理切片②免疫组化(IHC)③原位荧光杂交(FISH)④循环肿瘤检测(CTC)⑤肿瘤细胞培养研究

癌症研究中的显微成像痛点

癌症研究中的成像有明场和荧光两类,明场设备要求低,但病理切片全片判读工作量大,效率低,使用切片扫描系统通过电动扫描和拼接软件,实现高效全局成像与局部放大,可提升诊断精度与效率;多色荧光成像高灵敏度、高特异性,但信号弱,需优化激发光、滤光片、成像设备及图像处理,以获取清晰多通道信号;对于细胞培养,还有如何长时间成像监测,同时减少污染、不影响细胞生长的困难

FISH图像高灵敏度,但信号弱,MF43-N+四通道光源MG-120拍摄

癌症研究的解决方案

(1)全能型设备:明美数字切片扫描系统MDS4+MSX2/MS60,融合切片扫描功能与研究级荧光显微镜,适用于病理切片、CTC、FISH、IHC等多种检测。 (2)FISH、CTC、IHC专用:MF43-N/MF53-N+MS23/MSX11,搭配FISH软件,支持多色荧光通道,高灵敏度成像,智能优化图像。 (3)癌细胞培养观测:活细胞成像仪MCS11/MCS21/MCS22+电脑,培养箱内使用,无线连接远程管理,减少污染风险,集成多种成像模式,满足多样细胞培养观测需求。

MDS4:明场切片扫描仪和研究级荧光显微镜二合一

产品推荐
微信分享

微信扫描二维码,点击右上角 ··· 按钮

转发给朋友或分享到朋友圈

电话咨询

Tel:18102637572
QQ

QQ咨询

505506350
微信二维码

微信咨询

微信

分享微信

TOP