首页 应用领域 检验检疫 血涂片

血涂片

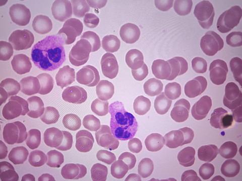
血涂片是血液细胞学检查的基本方法,通过显微镜观察外周血细胞的形态,筛查异常血细胞、细菌、寄生虫等病原体,辅助诊断贫血、感染、白血病等疾病。

血涂片

显微成像在血涂片中的应用

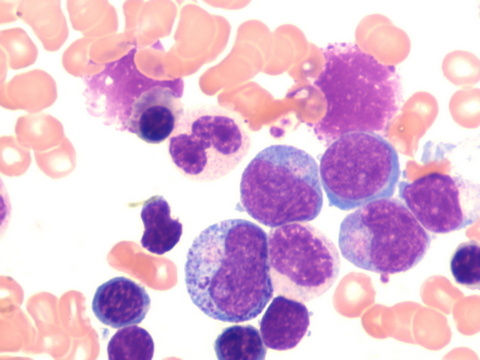
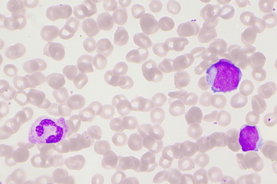
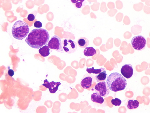
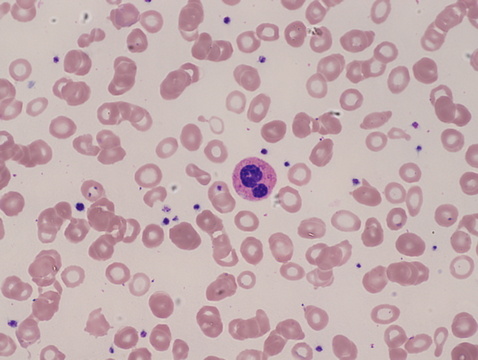
显微成像在血涂片中用于清晰观察红细胞、白细胞、血小板等血细胞的形态细节,通过染色技术增强对比度,帮助发现异常细胞或病原体,提高诊断准确性。

显微成像在血涂片中的难点

显微成像在血涂片中的难点包括区分形态相似的细胞(如血小板与疟原虫),以及在高倍镜下保持图像的清晰度和色彩还原度,确保准确诊断。

显微成像在血涂片中的解决方案

●高质量观察方案,推荐ML51-N搭配MSX2/MSX11相机,半复消色差物镜,高倍成像清晰细致,高像素成像捕捉细节,提升诊断效率与准确性。 ●性价比方案,推荐ML31搭配MDX10/MSX2相机,利用平场消色差物镜和LED科勒照明,获得提供良好清晰度、色彩准确的图像。

产品推荐
微信分享

微信扫描二维码,点击右上角 ··· 按钮

转发给朋友或分享到朋友圈

电话咨询

Tel:18102637572
QQ

QQ咨询

505506350
微信二维码

微信咨询

微信

分享微信

TOP