首页 应用领域 政府单位 疾控中心职业卫生实验室的显微镜应用

疾控中心职业卫生实验室的显微镜应用

疾控中心职业卫生实验室的显微镜应用

在当今工业化与科技快速发展的时代,疾控中心职业卫生实验室的重要性愈发凸显。通过检测工作场所粉尘、化学毒物、噪声等危害因素,预防尘肺病、职业中毒等疾病,保障劳动者健康。面对突发职业危害可以及时应对,如化学品泄漏或辐射事故时,快速分析危害源并提供处置依据。为政府修订职业卫生标准(如GBZ系列)提供科学数据。随着新业态(如电子制造业、新能源产业)兴起,实验室需持续更新技术,其中显微镜作为核心的检测仪器,更要不断升级以应对新型职业健康挑战。

疾控中心职业卫生实验室的显微镜应用

职业卫生实验室显微镜的应用

疾控中心职业卫生实验室是职业病防控的核心技术支撑机构,含括了危害因素检测、健康风险评估、职业病诊断支持、突发事故应急等方面的功能,是保障劳动者健康权益的重要技术平台。

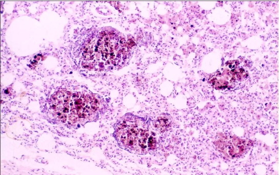
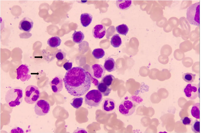
显微成像技术在职业卫生观测中的挑战

在常见职业病的检测中,如尘肺病的检测及重金属中毒的检测,需要用到高倍的显微镜进行观察,在评估检测的过程中,要对细胞的形态进行对比分析,便要求了更高的成像效果,这既是对显微镜有更高的要求,也是对显微相机有着更高的要求,以便能更好的评估细胞的形态并对此分析。

MSHOT 明美显微镜解决方案

推荐正置生物显微镜ML51-N/ML45/ML31+显微镜相机MDX10、MD60等。数智化生物显微镜ML45:放大40X-1000X,编码式物镜转盘,亮度记忆,LED数显屏,显示当前工作状态,ECO人走灯灭,可升级相差、暗场、简易偏光和荧光观察 显微镜相机MDX10:2000万高像素,1英寸大版面芯片,全分辨率下22帧/秒,兼顾高清与速度

产品推荐
微信分享

微信扫描二维码,点击右上角 ··· 按钮

转发给朋友或分享到朋友圈

电话咨询

Tel:18102637572
QQ

QQ咨询

505506350
微信二维码

微信咨询

微信

分享微信

TOP