首页 应用领域 检验检疫 病理成像

病理成像

现代医学诊断方式非常多样化,从临床上根据病史、症状和体征等做出的分析性诊断,到利用各种影像(超声、CT检查、MRI等)所作出的诊断,都是常用方法,但最终确诊性判断往往需要病理科通过病理成像确认。通过观测器官的大体(肉眼)改变、镜下观察组织结构和细胞病变特征而做出的病理诊断,更具有客观性和准确性,一份客观准确的病理诊断不仅需要医生专业的判断,还需要通过专业的光学显微镜来获取准确清晰的病理图像。

病理成像

病理成像的应用

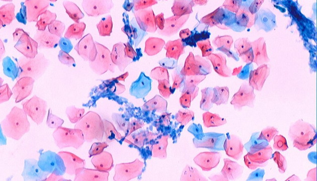
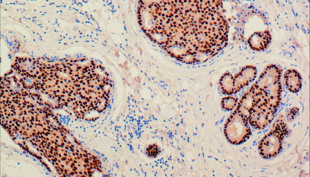
病理学按观测对象分器官、组织、分子病理学。器官病理学依赖肉眼及显微镜,确定病变性质。组织病理学则通过切片染色观察细微病变,常用HE、PAS、革兰氏、巴氏及油红O染色。分子病理学分析蛋白或基因表达,用于疾病进程与药效评估,常用IHC免疫组化定蛋白质,FISH技术检测特定基因片段,助力精准医疗。

免疫组化病理,明美ML51-M搭配MSX2拍摄

病理成像的难点

病理成像面临人体工学、平场性、色彩还原、荧光信号获取等挑战,需人体工学设计、高平场性物镜、精准色彩还原技术,及长寿命LED光源。人体工学设计提升操作舒适度,减少长时间镜检的疲劳;高平场性物镜可以达到22mm视野数甚至25mm视野数的平坦视野,大大提升镜检效率;色彩还原主要看光源和相机,采用高显色性的LED光源,搭配色彩还原良好的显微镜相机有助保障色彩还原。另外针对少量扫描数字切片需要,明美还有切片扫描系统,快速合成高清数字切片,兼顾大视野与细节,提升分析效率。

病理成像的解决方案

 推荐ML31-M/ML51-M显微镜配MSX系列相机,人体工学设计减轻疲劳,宽视野目镜与高清物镜提升效率。  FISH/免疫荧光观察用MF43-N荧光显微镜,多通道荧光转盘,长效LED光源,高分辨物镜,适配大像元相机。  MDS4数字切片扫描系统,融合扫描与荧光功能,快速拼接高清大图,适合科研与临床。  ME40大体相机,自动对焦,大像素高变焦,脚踏控制,灵活安装,适用于大体标本记录。

生物显微镜ML51-M提供大视野、高质量、稳定的成像

产品推荐
微信分享

微信扫描二维码,点击右上角 ··· 按钮

转发给朋友或分享到朋友圈

电话咨询

Tel:18102637572
QQ

QQ咨询

505506350
微信二维码

微信咨询

微信

分享微信

TOP