首页 应用领域 政府单位 疾控中心病理学实验室的显微镜应用

疾控中心病理学实验室的显微镜应用

疾控中心病理学实验室的显微镜应用

在应对新发传染病、慢性病及全球公共卫生挑战中,疾控中心的病理学实验室承担着疾病诊断、病原体鉴定及公共卫生事件溯源等关键任务。光学显微镜作为实验室的基础设备,在组织病理学分析、病原体检测及机制研究中发挥着不可替代的作用。

疾控中心病理学实验室的显微镜应用

病理学实验室中显微镜的应用

光学显微镜在疾控中心病理学实验室中贯穿疾病诊断、机制研究及公共卫生决策的全流程。它是疾病诊断的“眼睛”、科学研究的“探针”、防控决策的“基石”。

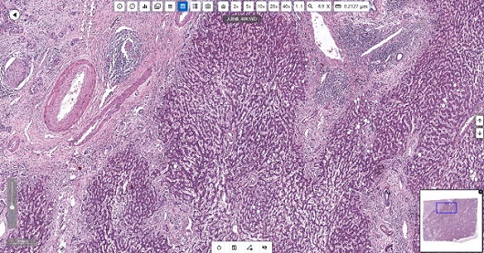
明美切片扫描仪MDS4扫描的人肝癌切片

显微成像技术在病理学观测中的挑战

1、微小结构观察困难:细胞和组织中的一些微小结构,如细胞器、生物大分子复合物等,其尺寸往往在光学显微镜的分辨率极限附近或以下。 2、对比度问题:一些样本的对比度较低,使得细胞和组织的细微结构难以区分。 3、光学像差:如球差、色差和像散等光学像差会影响图像的清晰度和准确性。

明美切片扫描仪扫描的免疫组化切片

MSHOT 明美显微镜解决方案

明场观察方案 推荐正置生物显微镜ML45/ML51-N/ML31+ 显微镜相机MDX10/MD60:适用于葡萄球菌、霍乱弧菌、念珠菌等的明场观察。 数智化生物显微镜ML45:放大40X-1000X,编码式物镜转盘,亮度记忆,LED数显屏,显示当前工作状态,ECO人走灯灭,可升级相差、暗场、简易偏光和荧光观察 显微镜相机MDX10:2000万高像素,1英寸大版面芯片,全分辨率下22帧/秒,兼顾高清与速度

产品推荐
微信分享

微信扫描二维码,点击右上角 ··· 按钮

转发给朋友或分享到朋友圈

电话咨询

Tel:18102637572
QQ

QQ咨询

505506350
微信二维码

微信咨询

微信

分享微信

TOP