微信扫描二维码,点击右上角 ··· 按钮
转发给朋友或分享到朋友圈
曙光医院引入明美MIX60-FL倒置荧光显微镜,助力组织细胞研究
发布时间:2025-02-08
访问量:1223
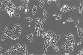
在生命科学研究中,组织细胞的动态观察是一门常见的课题。而倒置荧光显微镜,则是这门课题研究的“必备利器”。
近日,曙光医院需要一台倒置荧光显微镜,用于观察组织细胞形态变化,经过多轮筛选与严格测试,选择了明美的MIX60-FL倒置荧光显微镜,为科研攻坚注入了新的活力。

MIX60-FL倒置荧光显微镜的核心亮点
支持多个倍率相衬观测

标配半复消色差物镜,以及多个倍率的相衬物镜,无论是明场还是荧光观察,都能做到游刃有余。
灵活适配不同的培养容器

MIX60-FL采用快拆式相差聚光镜,工作距离达到72mm,可以适配各种不同的培养容器。 数智化模块,设计更贴心带ECO人走灯灭功能,可设置一定时间内无人使用后自动关闭光源,实现人走灯灭、人来灯亮的功能,省电且延长光源寿命。
此外,机身自带OLED屏幕,在上方直观呈现当前物镜倍数与光强指数,也可进行语音播报,方便选择物镜倍数。

多通道荧光切换,满足多样化实验需求MIX60-FL配备多通道独立控制系统,来回切换无需反复调整,无论是单一染色还是多重标记,MIX60-FL都能游刃有余地应对。

在曙光医院的实际应用中,MIX60-FL凭借高分辨率成像、多通道荧光独立记忆和智能化控制等特点,不仅显著提升了科研效率,还帮助科研团队更高效地捕捉细胞动态信息,为组织细胞研究提供了精准数据支持。
联系我们,了解更多产品详情!
免责声明
本站无法鉴别所上传图片、字体或文字内容的版权,如无意中侵犯了哪个权利人的知识产权,请来信或来电告之,本站将立即予以删除,谢谢。
微信扫描二维码,点击右上角 ··· 按钮
转发给朋友或分享到朋友圈