微信扫描二维码,点击右上角 ··· 按钮
转发给朋友或分享到朋友圈
【科研前沿】华南农业大学使用明美数字切片扫描仪MDS4揭示纳米塑料与污染物协同毒性机制!
发布时间:2025-05-07
访问量:792
在环境污染物研究领域,纳米塑料(NPs)与持久性有机污染物的复合毒性一直是科学家关注的焦点。近期,华南农业大学王俊团队在环境科学顶级期刊《Journal of Hazardous Materials》(中科院1区,IF=12.2)发表重要研究成果,揭示了纳米塑料与6:2氯化多氟醚磺酸盐(F53B)在天然有机物(NOM)存在下的协同毒性效应。值得一提的是,该研究全程采用明美光电数字切片扫描系统MDS4完成组织病理学成像分析,为结论提供了高精度可视化支持!

高分辨率成像,直观呈现组织损伤
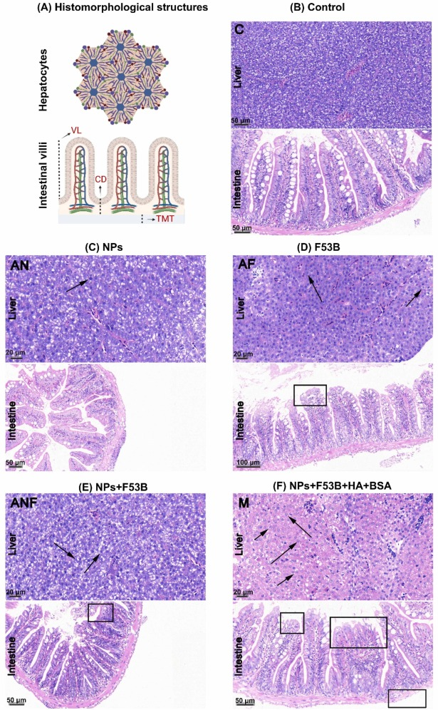
研究通过21天慢性暴露实验发现,NPs与F53B在NOM存在下会显著加剧斑马鱼肝脏和肠道损伤。明美MDS4拍摄的高清数字切片(图1)清晰显示:
肝脏:空泡化、细胞核浓缩
肠道:绒毛融合、隐窝深度降低

图1 成年斑马鱼的肝脏和肠道组织于长期暴露于不同处理组21天后的组织病理学变化。(A) 肝细胞和肠绒毛的组织形态结构示意图;(B)对照组-C;(C) 1 mg/L NPs-AN;(D) 200μg/L F53B-AF;(E) 1 mg/L NPs+ 200 μg/L F53B -ANF;(F) 1mg/L NPs + 200μg/L F53B + 10mg/L HA + 10mg/L BSA-M。其中VL为绒毛长度,CD为隐窝深度,TMT为肌层厚度,黑色箭头表示肝细胞核收缩,黑框表示肠绒毛萎缩。
多维度毒性机制解析
氧化应激:M组(NPs+F53B+NOM)MDA水平显著升高,T-AOC降低
基因调控:炎症相关基因(如il1b)上调,免疫抑制基因(如nfkbiaa)下调
肠道菌群失衡:致病菌(如Clostridium)丰度增加
转录组学验证
明美MDS4辅助的病理结果与转录组数据高度吻合,证实NOM通过激活AMPK/PPAR信号通路加剧毒性。
为什么选择明美MDS4?科研级设备的硬核实力
本研究的关键病理数据均依赖明美数字切片扫描系统MDS4完成,产品优势如下:

明美光电始终致力于为生命科学与医疗检测提供高端显微成像解决方案。本次华南农业大学的研究成果,再次验证了明美设备在复杂毒性机制研究中的价值:
应用场景:环境毒理、病理学、微生物生态
技术延伸:MDS4兼容荧光、明场等多模态成像,适配前沿课题需求
未来,我们将继续携手科研工作者,用精准影像技术揭示微观世界的奥秘!
微信扫描二维码,点击右上角 ··· 按钮
转发给朋友或分享到朋友圈