显微成像·洞察微观之美

Microscopic imaging, insight into the beauty of micro

首页 行业动态 技术分享 染色体核型分析镜检用什么显微镜

染色体核型分析镜检用什么显微镜

发布时间:2025-09-22

访问量:930

染色体核型分析镜检用什么显微镜

一、什么是染色体镜检


染色体是遗传物质,是基因的重要载体,生物的繁衍、发育都与之息息相关。人类染色体分为两类:22对常染色体和1对性染色体,即每个细胞拥有46条染色体,正常染色体核型可表达为“46,XX(或XY)”。

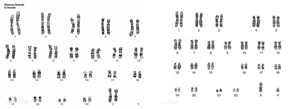
左图为女性正常染色体核型图,右图为男性正常染色体核型图
随着医学与科技的发展,人们发现某些疾病与染色体结构、数目等异常情况之间存在关联,使用光学显微镜对染色体进行核型分析,可对某些疾病的风险做出判断,常见的染色体异常遗传病有:①21三体综合征,也称唐氏综合征或先天愚型,主要临床表现智力低下,特殊面容等,大部分核型为“47,XX(或XY),+21”,即多一条21号染色体;②13三体综合征,也称帕陶氏综合征,主要临床表现智力低下,腭裂,耳廓畸形,颅面畸形等,大部分核型为“47,XX(或XY),+13”;③18三体综合征,也称爱德华式综合征,主要临床表现智力发育障碍,身体发育迟缓等,大部分核型为“47,XX(或XY),+18”;④克氏综合征(47,XXY),比正常男性多了1条X染色体,是男性不育中常见的染色体异常;⑤超雄综合征(47,XYY),比正常男性多了1条Y染色体,一般会表现为身材高大、易于兴奋、性格暴躁等。

染色体检查是检测染色体的数目或结构有无异常,广泛用于婚前检查、产前检查、系统性疾病诊断治疗监测等方面。传统是使用生物显微镜观察染色体数目与形态,操作较为简单快速,近年来,也有使用荧光显微镜通过荧光原位杂交技术(FISH)进行染色体核型特定位点的检测和标记,操作较为复杂,但是分析精度较高。

染色体检查的标本有外周血、骨髓细胞、皮肤和羊水等,传统方式的染色体核型分析是以分裂中期染色体为研究对象,需借助秋水仙素将样本细胞固定在分裂中期,经低渗和固定等一系列细胞学操作后获得染色体标本,用醋酸洋红或龙胆紫等染料进行染色后,置于显微镜下进行观察,确定染色体的数目及结构是否发生畸变,从而判断某种疾病的风险。

明美显微镜ML51-N搭配MSX11(100倍油镜)拍摄的染色体

二、染色体镜检中的挑战


人类染色体直径一般在0.2-2微米之间,长度变异范围0.2-50微米,使用生物显微镜进行染色体镜检主要是辨认出数目及结构是否异常,主要挑战来自以下几方面:
(1)染色体尺寸微小对显微镜分辨数目与结构的挑战。待观察的染色体处于分裂中期,一对染色体由着丝点相连接,两条染色体之间距离较近,如果物镜分辨率不够,成像时就较难将两者区分开来,同时也会影响对形态的判断,就会导致对数目与结构的误判。

分裂中期染色体结构,图片来源于百度百科,侵删
高数值孔径物镜意味着更高的分辨率,明美生物显微镜采用高数值孔径物镜,100倍油镜数值孔径可高达1.35,40倍物镜数值孔径可达0.75,两者理论分辨率可达0.3微米与0.5微米(以染色体被染成的400nm紫光为主),在此分辨率下,观察者可以很轻松的分辨染色体的结构和数目。

明美100倍高数值孔径物镜拍摄的染色体
可清晰分辨染色体的数目及一对染色体中的着丝点与两侧染色体
(2)高倍观察对调焦机构精细与稳定程度的挑战。100倍物镜分辨率高,也意味着焦深小,由于样本制片技术的差异,染色体可能处于不同的焦面,就需要调节调焦机构获得清晰的图像,明美生物显微镜采用同轴式粗微动调焦机构,微动格值可达2微米,焦面调节更精细,避免一动就过,让您的操作一步到位。

(3)长时间伏案镜检对显微镜人机工学的挑战。随着政策与人们认识水平的提高,婚前体检、产检等都需要进行染色体镜检,医院病理科往往承担长时间高强度的染色体镜检工作,明美研究级生物显微镜采用25大视野目镜、柔和不刺眼的白光LED光源、低手位钢丝传动载物台、低手位同轴粗微动调焦机构、高刚性主机架等设计,可缓解长时间工作时眼睛、手部、腰部等的疲劳。

三、明美解决方案


(1)明场下的生物显微镜染色体镜检方案
推荐:ML31/ML41/ML51-N+MSX11/MSX2


  • 低手位载物台和调焦机构、30°倾斜三目头等人体工学设计,减少工作疲劳
  • 22mm/25mm宽视野目镜,视野平场性优良,适合长时间计数观察
  • 高数值孔径物镜,细节分辨率更高,减少成像模糊带来的计数与结构辨认误差
  • LED明场光源,接近自然光的白光,亮度可调,明亮不刺眼
  • 2100/1250万大像素相机,结合专业成像软件,细节显示更清楚

(2)数字切片扫描方案
推荐:明美数字切片扫描系统MDS4

  • 可用于HE、IHC、TCT等常规明场病理切片扫描
  • 高精度三维运动平移台,可用电子手轮控制
  • 快速全闭环自动对焦,自动识别扫描范围
  • 高帧率快速扫描,10X扫描可低至40秒完成
  • 可升级荧光功能,实现切片扫描、明场及荧光观察,一机多用



(3)电动升级方案
推荐:电动载物台+常规生物显微镜
  • 可定量选择进行核型分析的区域,避免手动操作造成重复或遗漏
  • 有效行程73*30mm,小步长可达1微米,移动定位更准确
  • 结构紧凑,可匹配大部分生物显微镜
  • 可进行二次开发使用,可提供完整运动SDK开发包

明美是一家专注显微成像产品研发与销售的高新技术企业,是中国仪器仪表行业协会光学分会理事单位,医疗器械显微镜生产及经营厂家。

公司一直坚持诚信经营,用心服务,提供显微成像解决方案。为教育、科研、医药、工业检测等广大客户提供稳定的产品与服务。

始终以客户需求为主,以品质为根本,以创新为方向,推动显微行业的数字化、电动化、智能化,为显微领域的国产化进程贡献力量。

您若对显微成像产品有兴趣或存在疑惑,明美光电欢迎您咨询,期待与您相约!

免责声明
本站无法鉴别所上传图片、字体或文字内容的版权,如无意中侵犯了哪个权利人的知识产权,请来信或来电告之,本将立即予以删除,谢谢。 

微信分享

微信扫描二维码,点击右上角 ··· 按钮

转发给朋友或分享到朋友圈

电话咨询

Tel:18102637572
QQ

QQ咨询

505506350
微信二维码

微信咨询

微信

分享微信

TOP