微信扫描二维码,点击右上角 ··· 按钮
转发给朋友或分享到朋友圈
光学显微镜可以观察到神经细胞吗?荧光显微镜可以
发布时间:2025-10-10
访问量:933
光学显微镜可以观察到神经细胞吗?答案是可以,而且还是主流方案,因为光学显微镜才适合做活细胞动态观察,尤其基于光学显微镜的荧光观察,还是神经元研究的主流配置,高端的配置甚至可以直接看到神经元信号活动,比如味觉也是一种神经元信号,都是科技与狠活。

图1:神经元结构图
神经元又称神经细胞,是神经系统的基本结构和功能单位。
神经元结构分为细胞体和突起两部分:细胞体是信息整合和处理中心,由细胞核、细胞膜、细胞质组成,包含尼氏体等特有结构;突起是信号传输末梢,分为树突和轴突,树突起始粗分支细,负责传入,可能有多个,轴突相对细且均一,负责传出,只有一个。

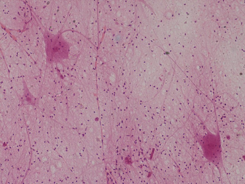
图2:明场下的染色神经元
和其他各种细胞一样,神经元几乎是透明的,不能直接用明场观察,为了满足科教等应用,可以用姬姆萨染色法等方式将神经元处理成染色样品,以便生物显微镜进行明场观察。
但这些处理会影响细胞活性,不适合动态观察。

图3:相衬观察的神经元
相衬观察是观察神经元生长和迁移的常用方案,因为这种观察方式不需要染色,对细胞活性非常友好,适合长时间成像,比如通过时延拍摄或长时间视频,记录神经元的生长和迁移。

图4:倒置显微镜适合相衬观察
倒置显微镜通常配备相衬环和相衬物镜,可以进行相衬观察,同时对培养皿有更好的支持,因此是神经元观察的常用方案。

图5:荧光观察下的神经元
倒置荧光显微镜是神经元相关研究的常用设备,利用活细胞示踪剂等特异性荧光染色,不仅可以标记出肌动蛋白丝等亚细胞结构,还能对细胞运动、迁移等进行监测。

图6:电生理研究用倒置荧光显微镜
使用倒置荧光显微镜的另一个好处是,样本上方有较大的操作空间,可以加上膜片钳等设备,以进行电生理研究。

图7:荧光观察下的神经元
荧光观察下,高亮的特异性荧光和黑色的背景有很高的对比度,是神经元相关论文研究的理想配图。常见的研究对象包括小鼠、果蝇和斑马鱼等。

图8:神经元荧光成像
染料选择方面,U通道的染料通常有细胞毒性,而且紫外线激发也有光毒性,因此神经元相关研究一般用B通道和G通道等细胞毒性和光毒性更低的方案,两个通道合成后,荧光重叠的部分会呈现出黄色荧光。

图9:斑马鱼神经元信号①
如果使用光片荧光显微镜、神经元钙离子成像等技术,我们甚至可以观察斑马鱼等透明活体目标的神经元信号活动,当信号传递时,可以观察到荧光在水平切面的亮起、传递、熄灭,有如烟花在夜空绽放,非常震撼。
如果你想看神经元,建议还是选择倒置荧光显微镜,既可以用相衬动态观察活细胞,也可以荧光标记观察各种想研究的细节,还能加上各种配件做成电生理平台。人类的感觉、思考和记忆,无一例外都跟神经元有紧密关系,研究神经元是脑科学的一大重点,光片荧光显微镜、TIRF全内反射荧光显微镜、机器学习等新科技也在这个前沿科学中崭露头角,这是个非常有潜力、有意思的课题。
①Volonté YA, Vallese-Maurizi H, Dibo MJ, Ayala-Peña VB, Garelli A, Zanetti SR, Turpaud A, Craft CM, Rotstein NP, Politi LE and German OL (2019) A Defective Crosstalk Between Neurons and Müller Glial Cells in the rd1 Retina Impairs the Regenerative Potential of Glial Stem Cells. Front. Cell. Neurosci. 13:334. doi: 10.3389/fncel.2019.00334
免责声明
本站无法鉴别所上传图片、字体或文字内容的版权,如无意中侵犯了哪个权利人的知识产权,请来信或来电告之,本站将立即予以删除,谢谢。
微信扫描二维码,点击右上角 ··· 按钮
转发给朋友或分享到朋友圈