微信扫描二维码,点击右上角 ··· 按钮
转发给朋友或分享到朋友圈
疾控中心职业卫生实验室的显微镜应用
发布时间:2025-12-10
访问量:456
在当今工业化与科技快速发展的时代,疾控中心职业卫生实验室的重要性愈发凸显。通过检测工作场所粉尘、化学毒物、噪声等危害因素,预防尘肺病、职业中毒等疾病,保障劳动者健康。面对突发职业危害可以及时应对,如化学品泄漏或辐射事故时,快速分析危害源并提供处置依据。为政府修订职业卫生标准(如GBZ系列)提供科学数据。随着新业态(如电子制造业、新能源产业)兴起,实验室需持续更新技术,其中显微镜作为核心的检测仪器,更要不断升级以应对新型职业健康挑战。
01职业卫生实验室显微镜的应用
疾控中心职业卫生实验室是职业病防控的核心技术支撑机构,含括了危害因素检测、健康风险评估、职业病诊断支持、突发事故应急等方面的功能,是保障劳动者健康权益的重要技术平台。
常见的职业病检测
尘肺病
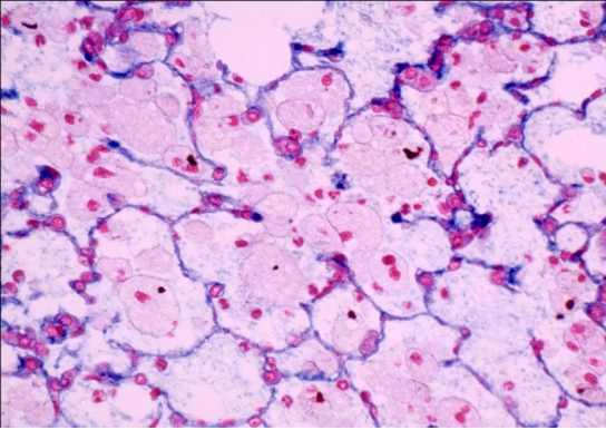
如矽肺、煤工尘肺、石棉肺等,使用显微镜观察肺泡灌洗液或肺组织切片,纤维化或炎症迹象评估确诊。

肺炎患者的肺泡细胞切片
化学中毒
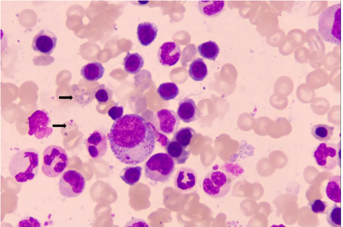
如铅、汞、镉这些重金属中毒,使用显微镜观察患者血涂片来对结果进行评估分析。

骨髓涂片检查显示红细胞嗜碱性点(箭头)
02显微成像技术在职业卫生观测中的挑战
在常见职业病的检测中,如尘肺病的检测及重金属中毒的检测,需要用到高倍的显微镜进行观察,在评估检测的过程中,要对细胞的形态进行对比分析,便要求了更高的成像效果,这既是对显微镜有更高的要求,也是对显微相机有着更高的要求,以便能更好的评估细胞的形态并对此分析。
03MSHOT 明美显微镜解决方案
推荐正置生物显微镜ML51-N/ML45/ML31+显微镜相机MDX10、MD60等
研究级生物显微镜ML51-N:40X-1000X放大,高数值孔径半复物镜,成像锐利;编码式5孔物镜转盘,1μm超微调焦精度,适合精细观察;10X/23mm大视野目镜,样本覆盖更广
数智化生物显微镜ML45:放大40X-1000X,编码式物镜转盘,亮度记忆,LED数显屏,显示当前工作状态,ECO人走灯灭,可升级相差,暗场,简易偏光和荧光观察
生物显微镜ML31:无限远光学系统,40x-1000X放大,平场消色差物镜,可升级相差,暗场,简易偏光和荧光观察
显微镜相机MDX10:2000万高像素,1英寸大版面芯片,全分辨率下22帧/秒,兼顾高清与速度
显微镜相机MD60:630万像素,64MB图像缓存+USB3.0接口,59fps高帧率,高帧率低延迟

04MSHOT 明美显微镜应用实例
肺组织切片观察:
用正置生物显微镜ML31/ML45/ML51-N搭配显微相机MD60/MDX10,在明场观察下,使用100倍油镜来感测切片中的细胞形态,可从镜下观察是否存在异常形态的组织细胞,如下图中,存在着尘细胞性肉芽肿。
显微镜是疾控中心职业卫生实验室不可或缺的关键技术手段,在职业病防控工作中发挥着不可替代的作用。通过显微镜观察,实验室能够精准识别和分析工作场所中的粉尘颗粒(如矽尘、石棉纤维)、病原微生物(如布鲁氏菌、结核杆菌)等职业危害因素,为职业病诊断提供直接依据。明美显微镜为疾控中心职业卫生实验室进行检测提供了完善的方案,通过使用正置生物显微镜和高分辨率的显微相机,更好的去对各种职业卫生项目进行检测,为保障劳动者健康权益的提供了重要技术支撑。

免责声明
本站无法鉴别所上传图片、字体或文字内容的版权,如无意中侵犯了哪个权利人的知识产权,请来信或来电告之,本站将立即予以删除,谢谢。
微信扫描二维码,点击右上角 ··· 按钮
转发给朋友或分享到朋友圈