微信扫描二维码,点击右上角 ··· 按钮
转发给朋友或分享到朋友圈
病毒“侦察兵”——揭秘疾控中心病毒实验室的显微镜应用
发布时间:2025-12-10
访问量:460
随着全球传染病防控形势的日益复杂,疾控中心病毒实验室在公共卫生领域的重要性愈发凸显,在传染病防控中发挥着不可替代的关键作用。光学显微镜在疾控中心病毒实验室中的应用广泛而深入,它在病毒检测、机制研究和防控支持中发挥着不可替代的作用,为病毒学的发展和公共卫生防控提供了有力支持。
01病毒实验室中显微镜的应用
疾控中心病毒实验室是传染病防控、病原体研究和公共卫生应急的核心技术支撑平台。显微镜作为实验室的基础工具,在病毒检测、机制研究及防控决策中扮演着不可替代的角色。
病毒检测与诊断
呼吸道七联检/九联检,采用免疫荧光法技术,通过荧光显微镜检测荧光信号,能够快速准确地检测多种呼吸道病原体,为医生提供及时的病原学信息,帮助制定合理的治疗方案,提高患者的治愈率和康复速度,减少疾病的传播风险。

明美MF31拍摄的呼吸道七联检免疫荧光
(绿色为病毒反应)
病毒形态与结构观察
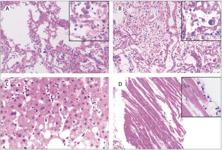
病毒入侵导致细胞或组织发生病理变化,可以通过明场显微镜观察IHC或者HE染色的细胞或组织的病理形态。

感染SARS-CoV-2重症肺炎患者的病理组织切片(图片来源于网络)
细胞培养观察病变(CPE)
倒置显微镜初步筛查:每日观察细胞形态变化,记录病变进展(如空泡化、脱落)荧光显微镜分析:利用荧光标记抗体或染料,精确定位病毒感染区域。

被轮状病毒(绿)感染的细胞,已经开始空泡化
病毒与宿主相互作用研究
荧光原位杂交(FISH)技术:利用荧光标记的核酸探针与病毒基因组杂交,在荧光显微镜下检测荧光信号,可实现对病毒核酸的精确定位和检测,为病毒感染的早期诊断和病情监测提供重要依据。

明美MF43-N拍摄的FISH图片
02显微成像技术在病毒观测中的挑战
病毒尺寸通常小于100nm,远超光学显微镜的分辨率极限(约200nm),因此光学显微镜难以直接清晰地观察到病毒的形态和结构。在实际应用中,常规检测需依赖间接方法:通过观察病毒感染引发的宿主细胞病理形态变化(如空泡化、合胞体形成)或组织损伤特征来初步判断感染状态。
若采用荧光显微镜检测,则通过特异性荧光标记策略(如免疫荧光抗体标记病毒抗原,或核酸探针标记病毒基因组),可在亚细胞水平定位病毒组分。然而,受限于病毒颗粒的微小体积及低拷贝数,标记产生的荧光信号强度显著受限。为克服这一问题,需要使用高强度的激发光以及配备高灵敏度的显微相机进行成像,以增强信号的捕捉和记录效果,进而提高病毒检测的准确性和灵敏度。
03MSHOT 明美显微镜解决方案
1)呼吸道七联检/九联检方案推
荐正置荧光显微镜MF31/MF23+显微镜相机MD60/MDX10(主推):适用于呼吸道七联检、九联检的荧光观察,B激发荧光(460-490nm)显示绿色荧光反应
特点:
正置荧光显微镜MF31/MF23:采用长寿命LED荧光激发装置,操作简便,即开即用,支持明场和荧光显微观察。
显微镜相机MDX10:2000万高像素,1英寸大版面芯片,全分辨率下22帧/秒,兼顾高清与速度
显微镜相机MD60:630万像素,64MB图像缓存+USB3.0接口,59fps高帧率,高帧率低延迟

2)病毒感染的组织切片和免疫组化切片常规观测方案
推荐正置生物显微镜ML51-N/ML45/ML31+显微镜相机MDX10/MD60等
研究级生物显微镜ML51-N:40X-1000X放大,高数值孔径半复物镜,成像锐利;编码式5孔物镜转盘,1μm超微调焦精度,适合精细观察;10X/23mm大视野目镜,样本覆盖更广
数智化生物显微镜ML45:放大40X-1000X,编码式物镜转盘,亮度记忆,LED数显屏,显示当前工作状态,ECO人走灯灭,可升级相差,暗场,简易偏光和荧光观察
生物显微镜ML31:无限远光学系统,40x-1000X放大,平场消色差物镜,可升级相差,暗场,简易偏光和荧光观察显微镜相机MDX10:2000万高像素,1英寸大版面芯片,全分辨率下22帧/秒,兼顾高清与速度
显微镜相机MD60:630万像素,64MB图像缓存+USB3.0接口,59fps高帧率,高帧率低延迟

3)细胞培养观察病变(CPE)观测方案
推荐①倒置荧光显微镜MIX60-FL(三色)+MSX3/MDX10 ;②倒置荧光显微镜MF53-N+MSX11-C
倒置荧光显微镜MIX60-FL:采用模块化设计理念,多通道荧光配置模块化,满足多样性需求,编码式物镜转盘,亮度记忆,LED数显屏,显示当前工作状态,ECO人走灯灭,数智化模块,设计更贴心
倒置荧光显微镜MF53-N:优异的光学系统,卓越的弱荧光成像,高数值孔径的半复物镜,6孔荧光附件盘式结构设计,切换方便。长寿命的宽光谱大功率LED光源,亮度均匀、维护简便,即开即关,无需预热
显微镜相机MDX10:2000万高像素,1英寸大版面芯片,全分辨率下22帧/秒,兼顾高清与速度
显微镜相机MSX3:1200万高分辨率显微相机,背照式图像传感器,卓越的低噪点、高感光度性能

4)荧光原位杂交(FISH)技术检测方案
推荐:MF43-N+宽光谱大功率光源MG-100/MG-120+高灵敏度相机MC50-S/MS23/MSX3+FISH软件
MF43-N:研究级机身,6孔落射荧光模块,高数值孔径物镜,成像质量高扩展性强,标配BGU三通道荧光,可按需求定制单通或双通滤光片组,长寿命LED激发光源,即开即用,触屏直观控制开关,光强可调,激发稳定
显微镜相机MC50-S/MS23/MSX3:高灵敏度相机,成像帧率更高,满足更快速实时的高质量荧光成像,搭配FISH软件可实现多种荧光通道图像快速、高精度合成

研究级荧光显微镜MF43-N
免责声明
本站无法鉴别所上传图片、字体或文字内容的版权,如无意中侵犯了哪个权利人的知识产权,请来信或来电告之,本站将立即予以删除,谢谢。
微信扫描二维码,点击右上角 ··· 按钮
转发给朋友或分享到朋友圈