微信扫描二维码,点击右上角 ··· 按钮
转发给朋友或分享到朋友圈
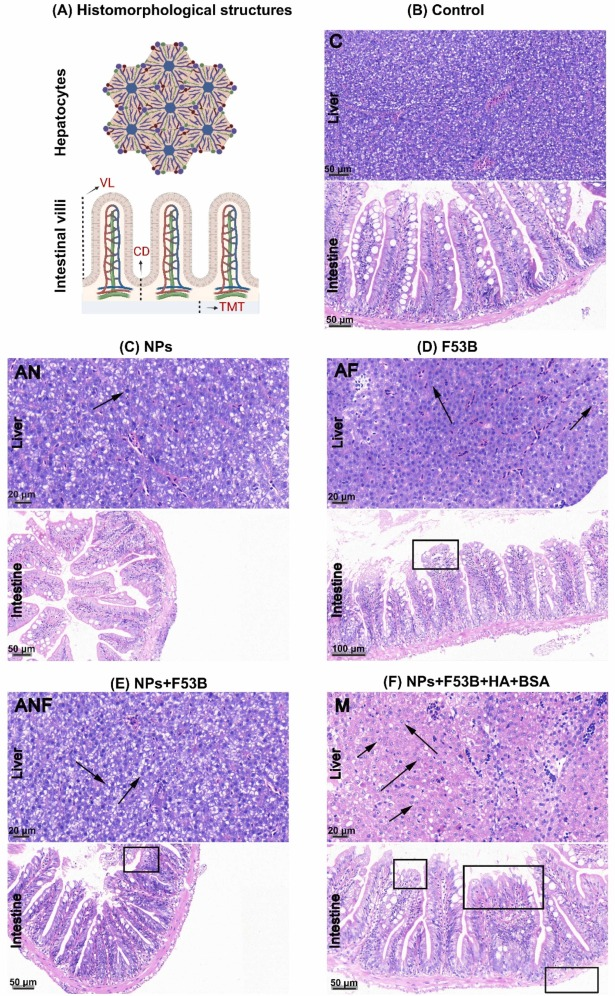
【科研前沿】华南农业大学使用明美数字切片扫描仪MDS4揭示纳米塑料与污染物协同毒性机制!
发布时间:2025-12-24
访问量:467
在环境污染物研究领域,纳米塑料(NPs)与持久性有机污染物的复合毒性一直是科学家关注的焦点。近期,华南农业大学王俊团队在环境科学顶级期刊《Journal of Hazardous Materials》(中科院1区,IF=12.2)发表重要研究成果,揭示了纳米塑料与6:2氯化多氟醚磺酸盐(F53B)在天然有机物(NOM)存在下的协同毒性效应。值得一提的是,该研究全程采用明美光电数字切片扫描系统MDS4完成组织病理学成像分析,为结论提供了高精度可视化支持!

明美MDS4助力精准捕捉毒性证据
为什么选择明美MDS4?
科研级设备的硬核实力
微信扫描二维码,点击右上角 ··· 按钮
转发给朋友或分享到朋友圈