微信扫描二维码,点击右上角 ··· 按钮
转发给朋友或分享到朋友圈
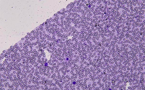
生物显微镜下的血常规观察
发布时间:2026-02-05
访问量:317
在我国血常规检查工作当中,显微镜检查时必不可少,且显微镜检查血常规方法是检验人员须掌握的检查方法。
近年来,随着我国科学技术的不断发展,血细胞分析仪在我国血常规临床检验中得到广泛的应用,但还是不能缺少显微镜检查,否则将会给临床诊断增加不必要的麻烦,例如误诊,漏诊。
以下是明美生物显微镜下的血片-常规血形态观察(主要是拍摄血形态组织和观察白细胞的计数):

此次医院检验科使用的是明美生物显微镜ML31,采用无限远光学系统,可实现明场、暗场、相差多功能显微观察,调焦系统,同轴粗微调焦机构,机械式移动平台,平台尺寸210*140mm,移动范围76*50mm,外置1x数码相机接口,拍照视野大小和目镜视野同步实时显示

微信扫描二维码,点击右上角 ··· 按钮
转发给朋友或分享到朋友圈