微信扫描二维码,点击右上角 ··· 按钮
转发给朋友或分享到朋友圈
显微镜下的奇妙生物世界:探索微观生命的精彩瞬间
发布时间:2024-11-15
访问量:4984
(说明:本文图片均来自于微信公众号:显微观形态)
在显微镜的镜头下,神奇的微观世界向我们徐徐展开,那里隐藏着一个个鲜活的“小故事”:淋巴细胞三两“组队”,仿佛正在玩一场“斗地主”游戏;白细胞与细菌殊死搏斗,上演了一场精彩的“微观战役”;晶莹透亮的草酸钙晶体散在排列,像是大自然的“微小宝石”。今天就让我们一起,跟随显微镜的视角,探寻这些迷人的“生物奇观”!
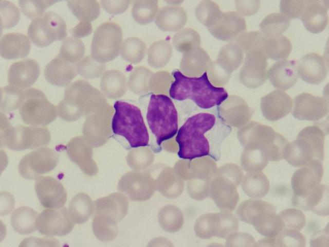
1. 淋巴细胞“斗地主”:我也来观战!

淋巴细胞是免疫系统中的“重要人物”,肩负着抵抗病原体、预防感染的重任。在显微镜下,有三个淋巴细胞聚在一起,看上去像极了“斗地主”场景,而另一颗则似乎在旁边“观战”。让人不禁莞尔一笑,免疫战士们也有娱乐时光呢!
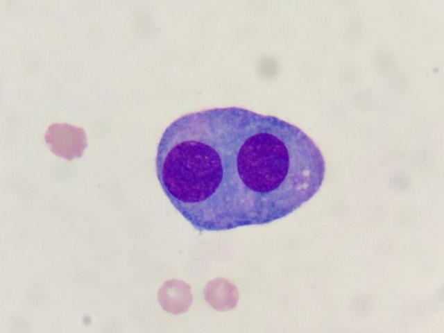
2. 双核的间皮细胞:自然界的“双黄蛋”

间皮细胞覆盖在胸膜、腹膜、心包等体腔表面,主要起保护和润滑的作用。这种细胞扁平且成薄膜状,减轻了器官间摩擦。显微镜下,这个间皮细胞的双核就像“双黄蛋”,有种独特的视觉效果,既科学又带点温馨。
3. 猪巨吻棘头虫卵:微观世界的“杏仁”

猪巨吻棘头虫是一种寄生虫,常见于猪的小肠中,影响猪的健康。这种虫的卵在显微镜下呈卵圆形,坚硬的蛋壳看上去像一颗微型“杏仁”。虽然是寄生虫的产物,却也别有一番趣味,展示了生物界丰富的多样性。
4. 草酸钙结晶:小小哑铃般的晶莹剔透

草酸钙结晶通常存在于人类的尿液中,是食用富含草酸的食物后由体内代谢形成的。显微镜下,黄橙橙的草酸钙结晶形似迷你哑铃,晶莹剔透、奇趣可爱,像是微观世界中的“小小艺术品”。
5. 血小板聚集:星河般壮观的“凝血风景”

血小板是血液中的小小“凝血卫士”,负责止血和凝血。受损血管处,血小板迅速聚集、粘附在血管壁上,形成血小板栓,看上去仿佛星河般灿烂。那种生机与秩序,让人不禁感叹生命的微观之美。
6. 前列腺液中的脂肪滴:折光明亮的“小星球”

显微镜下,前列腺液中的脂肪滴折光性极强,染色后呈现鲜艳的颜色,像是漂浮的小星球。这个场景丰富了我们对身体微观结构的认识,也让人对生命的复杂性多了一分敬畏。
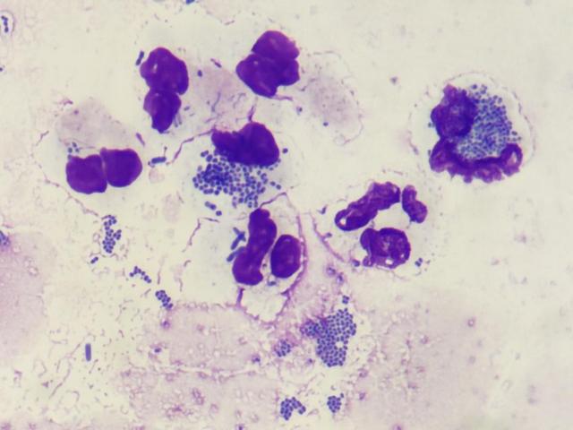
7. 白细胞大战细菌:一场没有硝烟的“生死较量”

作为免疫系统的主力军,白细胞时时警惕外来入侵者。显微镜下,白细胞正与细菌展开一场激烈的“生死大战”。两方势均力敌,胜负未决。这场“微观战斗”让人感受到生命的活力和白细胞的顽强...
显微镜下的世界多姿多彩,每一幅图像都是生命的故事。这样的故事还有很多,时刻在上演,感兴趣的朋友可以亲自上手,使用生物显微镜就可以欣赏到这些奇妙的微观世界。我们为大家推荐明美的生物显微镜ML51,采用优秀的无穷远独立消色差光学,搭配大视野目镜,成像清晰,色彩鲜明,是形态学观察和检测的好帮手。

免责声明
本站无法鉴别所上传图片、字体或文字内容的版权,如无意中侵犯了哪个权利人的知识产权,请来信或来电告之,本站将立即予以删除,谢谢。
微信扫描二维码,点击右上角 ··· 按钮
转发给朋友或分享到朋友圈