微信扫描二维码,点击右上角 ··· 按钮
转发给朋友或分享到朋友圈
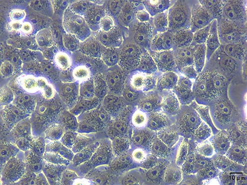
倒置显微镜下的细胞爬片观察
发布时间:2026-03-03
访问量:133
什么是细胞爬片:
细胞爬片,是指让玻片浸在细胞培养基内,细胞在玻片上生长,主要用于组织学,免疫组织化学,冰冻切片,细胞涂片,原位杂交等。

倒置显微镜MI52-N下的细胞爬片
细胞爬片特点:
1.玻片表面经过TC处理,双面均可使用.
2.γ射线灭菌,保证无菌.
3.使用便捷,只需打开包装,将爬片放入孔板内,将细胞悬液滴到爬片上即可培养.

倒置显微镜MI52-N下的细胞爬片
细胞爬片观察仪器:
倒置显微镜MI52-N
采用优异的无限远光学系统,可提供光学性能。
超长工作距离聚光系统可对高培养皿或圆筒状烧瓶进行无沾染培养细胞观察,照明系统充分考虑散热性
人机工程学设计理念,使操作便捷,空间更广阔。

倒置显微镜MI52-N下的细胞爬片

我们的优势:
广州明美是国家高新技术企业、省显微成像工程技术研究中心,创立于2003年,持续深耕研发、生产和销售高品质显微相机、科研级荧光显微镜、LED荧光模块等产品,曾获国家先进制造行业大奖。
公司以品质谋发展,以服务为宗旨,已通过ISO9001质量体系认证和医疗器械生产经营资质认证,拥有过百的发行专利和软件著作权,服务网点遍布全国20多个城市,专业工程师为客户提供一对一的完善服务。
微信扫描二维码,点击右上角 ··· 按钮
转发给朋友或分享到朋友圈