微信扫描二维码,点击右上角 ··· 按钮
转发给朋友或分享到朋友圈
接种剂次超29亿!中国新冠疫苗奇迹幕后故事
发布时间:2026-03-10
访问量:207
据新华社1月11日消息,中国全国新冠疫苗接种剂次已经超过29亿,完成全程接种人数超12.1亿,无论数量还是覆盖比例都处于世界领先水平,堪称又一个中国奇迹,到底是怎么达成的?我们今天就以广泛接种的灭活疫苗为例讲讲背后的故事。

新华社:接种剂次已经超过29亿

灭活疫苗,CDC提供, by Jim Gathany
一般来说,一款疫苗的研发周期需要10-15年,但这样的研发速度显然无法追上扩散极快的新冠疫情。
2020年全球疫苗研发都在跟病毒赛跑,为了尽早实现“疫苗自主”的目标,国家同步推进五种技术路线的疫苗研发,其中灭活疫苗备受期待。灭活疫苗至今已经有120年以上的使用历史,是非常成熟、安全的疫苗技术,因此研发生产成本一般相对低————但这对传染性极强的新冠病毒来说并不适用。

P3级别生物安全实验室,CDC提供,by Greg Knobloch
生产灭活疫苗需要先培养病原体,再灭活做成疫苗。新冠病毒传染性极高,因此需要生产车间达到P3生物安全级别,这意味着负压空间、密封的工作服,以及,每个车间10亿以上的高昂成本。
常规来说,企业很难下决策做如此高成本、高风险的投入,但在中国举国之力加持下,中国生物顶住巨大压力,耗时2个月左右就建成了其他国家望尘莫及的超大型新冠灭活疫苗生产车间,并持续在兰州等地继续扩大生产,为惊人的产能和接种率提供了基础。

新冠灭活疫苗,引用自科兴官网
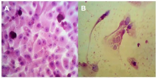
我们打的新冠疫苗包装上都有"VERO细胞"的标注,那这是什么意思呢?VERO细胞是非洲绿猴肾细胞,外观呈梭形,一般用于检查大肠杆菌毒素以及作为病毒培养的细胞宿主。

正常VERO细胞 vs 感染病毒后的VERO细胞,PubMed DOI: 10.2147/OV.S59037, Al-Shammari A.M.
生产技术人员使用培养皿培养VERO细胞,观察判断细胞培养数量理想后,投入新冠病毒,感染病毒的VERO细胞会完全破坏,扁圆皱缩,形成空泡空洞,观察破坏情况可以判断病毒培养进程,培养成功后,生产技术人员就可以把培养液倒出来收获、灭活、提纯,做成新冠灭活疫苗了。

10层细胞工厂培养皿
传统的大规模细胞培养一般用转瓶培养或生物反应器,但这些技术难以扩大到满足新冠疫苗生产需要,实际新冠灭活疫苗生产用的是“细胞工厂”培养皿。

MI52-CF和10层细胞工厂培养皿
细胞工厂培养皿有1层、2层、5层、10层和40层几种规格,每层632平方厘米,10层细胞工厂就相当于36个T175培养皿,密度很高,且只需简单操作就可以把培养液平均分到每一层,使用便捷安全,占用空间少。

多层细胞工厂成像仪和细胞工厂培养皿
细胞工厂另一优势是便于观察。以往细胞培养很多都要逐个采样,放到多孔培养板上显微观察,非常消耗人力;而细胞工厂形态比较方正,适合机械臂自动化操作,除了可以用细胞工厂显微镜MI52-CF等产品直接观察底下两层,还能放到
之类设备上自动完成40层细胞工厂的原位观察拍照,大大减低观察评估所需的人力。
要在一个超级人口大国达成如此高的接种率,当然不止单靠研发、生产技术的创新和整合,更有赖于国家从前期就提前做好规划,以及执行层面有无数基层医疗工作者的无私奉献,目前国内正面对奥密克戎新变种的严峻挑战,但我们此前已经经受挑战,并达成了惊人的疫苗产能和接种率,相信我们这次也能够找到方法有效应对。
*本网站无法鉴别所上传图片、字体或文字内容的版权,如无意中侵犯了哪个权利人的知识产权,请来信或来电告之,本网站将立即予以删除,谢谢。
微信扫描二维码,点击右上角 ··· 按钮
转发给朋友或分享到朋友圈