微信扫描二维码,点击右上角 ··· 按钮
转发给朋友或分享到朋友圈
上了“色”的细胞,用什么显微镜来观察?
发布时间:2026-03-10
访问量:116
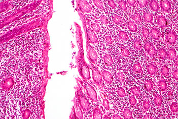
我们在显微镜下观察组织和细胞的时,通常要把组织和细胞做成切片或是涂片,这时组织和细胞的厚度一般在1~10微米,在这个厚度的条件下,组织和细胞具有较好的透光性,基本上就没有颜色。

没有颜色非常不利于对组织和细胞的观察,因此,人们发明了多种给组织和细胞上色的方法,称为染色(stain)。对于病理学组织切片研究,一般采用HE染色、Masson染色等染色方法,使用显微镜明场观察,搭配MSX2之类色彩还原比较好的显微相机拍照。
而对于活细胞一般采用荧光染色,用倒置荧光显微镜观察。以下是倒置荧光显微镜下的荧光染色细胞图:



倒置荧光显微镜MF52-N
好的样品效果呈现当然少不了好的仪器设备来助力;此次实验使用到的设备为明美倒置荧光显微镜MF52-N。

倒置荧光显微镜MF52-N由LED落射荧光显微系统与倒置生物显微系统组成,配置长工作距离平场物镜与大视野目镜。落射荧光显微系统采用模块化设计理念,可以快捷地调整照明系统,切换荧光滤光片组件。
倒置荧光显微镜MF52-N可应用于细胞组织,透明液态组织的显微观察,也可用于生物制药,医学检测、疾病预防等领域内的荧光显微观察。
微信扫描二维码,点击右上角 ··· 按钮
转发给朋友或分享到朋友圈