微信扫描二维码,点击右上角 ··· 按钮
转发给朋友或分享到朋友圈
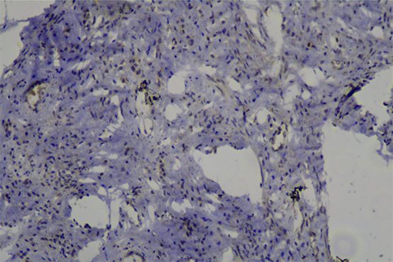
显微镜下的病理世界——肾脏切片
发布时间:2026-03-12
访问量:101
大家平时看病问诊都是直面接触于门诊、临床医生,其实医院中还有这样一个群体,他们结合自己的专业知识,应用病理切片、显微镜等做出病理诊断报告。
病理诊断报告是疾病确诊的证据,没有病理诊断,疾病的及早发现与确认将会困难很多。

常用的病理诊断方法为有——组织学检查,病变组织制成厚约数微米的切片,通常用苏木精·伊红染色(HE染色),或其他方法染色后,用光学显微镜观察其微细病变。

这次,老师使用的仪器为明美生物显微镜ML31, 采用无限远光学系统,可实现明场、暗场、相差多功能显微观察,拍照视野大小和目镜视野同步实时显示。

生物显微镜ML31观察样品真实清晰,保证了采集图像的锐度、清晰度和色彩还原性,为数字成像提供了高质量和高性能的成像解决方案。常用来观察生物切片、生物细胞、细菌以及活体组织培养、流质沉淀等的观察和研究。
微信扫描二维码,点击右上角 ··· 按钮
转发给朋友或分享到朋友圈