微信扫描二维码,点击右上角 ··· 按钮
转发给朋友或分享到朋友圈
明美生物显微镜应用于广东省生物制品与药物研究所微核及切片观察
发布时间:2026-03-19
访问量:144
广东省生物制品与药物研究所老师在网上找到明美,近期有一整套显微成像解决方案的需求(包含生物显微镜和显微镜相机),用来做微核及切片观察。
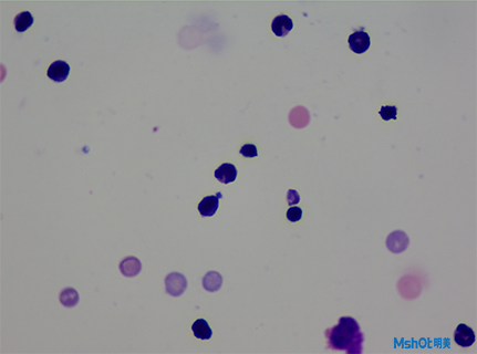
微核(micronucleus, 简称MCN),是真核类生物细胞中的一种异常结构,是染色体畸变在间期细胞中的一种表现形式。微核往往是各种理化因子,如辐射、化学药剂对分裂细胞作用而产生的。微核测试用于辐射损伤、辐射防护、化学诱变剂、新药试验、食品添加剂的评价,以及染色体遗传疾病和癌症前期诊断等各个方面。

解决方案:
根据老师实际需求,明美工程师推荐了性价比高的明美生物显微镜ML31和高分辨率显微镜相机MSX1,整套方案搭建后老师看样品效果满意,尤其在100X油镜下观察可以和进口显微镜相媲美,而且显微镜相机色彩还原性比较好。


如果您有生物显微镜方面的需求或感兴趣,欢迎咨询,期待与您相遇!
微信扫描二维码,点击右上角 ··· 按钮
转发给朋友或分享到朋友圈