微信扫描二维码,点击右上角 ··· 按钮
转发给朋友或分享到朋友圈
世界杯啤酒别喝太多,来看看显微镜下的脂肪肝
发布时间:2025-04-10
访问量:1108
世界杯啤酒别喝太多,来看看显微镜下的脂肪肝
2022年卡塔尔世界杯目前正在热烈进行中,精彩的赛事吸引无数人关注,看球标配的啤酒当然还是少不了,不过欣赏球赛畅饮啤酒的同时也要注意适度,啤酒是高热量食物且含有酒精,长期大量喝会对肝脏造成损伤,今天带大家来看看生物显微镜ML31镜下的脂肪肝吧。

·啤酒为什么伤肝?

啤酒有“液态面包”之称,不仅因为正宗啤酒有麦芽香气酷似面包,更因为啤酒的热量堪比面包。以一罐市售330ml的啤酒为例,总热量约120大卡,相当于一片白面包或者100克龙虾肉,需要中等速度踩上30分钟单车才能消耗掉。
据肝病医生介绍,长期喝啤酒,很容易让脂肪在肝脏积累,导致脂肪肝和啤酒肚等问题,同时每天饮酒量超过80克,就会显著增加酒精对肝脏造成的负担,导致肝细胞损伤和死亡,引发脂肪肝。
·正常肝脏镜检下是什么样的

病理观察通常使用生物显微镜
要观察肝脏病理,一般使用ML31等正置的生物显微镜,标配4X/10X/40X/100X四个不同倍率物镜,满足普通病理切片到血涂片、细菌涂片的观察需要。

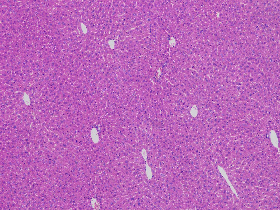
ML31下的正常肝细胞
肝脏主要由肝细胞组成,正常的肝脏HE染色切片在镜下呈现为绵密的肝细胞,细胞核清晰可见且形状比较规则,细胞间有少量不规则的空洞区域。

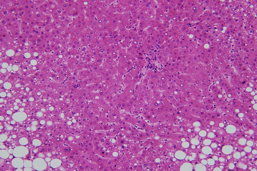
ML31下的脂肪肝:小空泡
当肝细胞出现脂肪变性,镜下可见细胞内出现大小不一空泡,早期主要在细胞核周围形成小空泡。

ML31下的脂肪肝:大空泡
随着情况加重,空泡会增多合并形成大空泡,空泡占比越高,脂肪肝情况越严重。

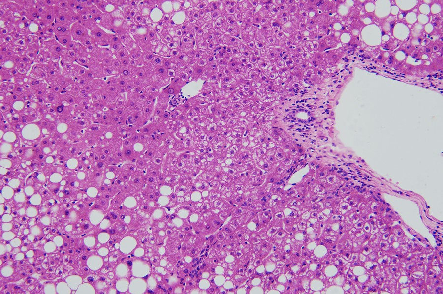
ML31下的脂肪肝:肝细胞气球样变
在这个视野中我们还可以看到肝细胞的气球样变,显示肝细胞受损进展中。当肝细胞受损后,水分增多会引起肝细胞胀大、胞浆疏松化,进一步发展肝细胞胀大如球形,胞浆几乎透明,这就是肝细胞的气球样变。
通过上述病理观察,医院的医生就可以对脂肪肝进行诊断和分级分期,评估患者的疾病的进展以及预后。
·脂肪肝可以恢复,不必过于担心
脂肪肝会影响肝脏的运作效率,处理酒精的能力会下降,如果不管不顾继续喝,可能会加剧病情的恶化。好消息是脂肪肝是可以恢复的,在早期肝细胞脂肪变性时,可以有效进行逆转,一般通过饮食调控、生活习惯改善、运动锻炼及病因预防,病变可以被修复,肝脏也能恢复健康,所以别整天呆坐着看球了,动起来吧!
免责声明
本站无法鉴别所上传图片、字体或文字内容的版权,如无意中侵犯了哪个权利人的知识产权,请来信或来电告之,本站将立即予以删除,谢谢。
微信扫描二维码,点击右上角 ··· 按钮
转发给朋友或分享到朋友圈